HOME ≫ 医院・設備紹介 ≫
院内・設備紹介
院内案内
受付・待合室
親切・丁寧な対応を心掛けています。
治療に関するちょっとした質問や、何かお困りのことがございましたら、まずは受付までお声掛けください。
診療室
ゆったりと気持ちの落ち着く治療用の椅子です。(Fukka-Fukaシート)
また、お体のご不自由な患者様でも安心・リラックスして治療を受けられます。
カウンセリングルーム
お口に関するお悩みや、不安、ご希望をお伺いいたします。
プライバシーにも配慮した環境です。
キッズスペース
お子様連れの方も安心して通院していただけるよう、キッズスペースを完備しております。
お父様・お母様の治療中も楽しく過ごしていただけます。
(休止中)
ハートビル法(バリアフリー)
当院はハートビル法の建物です。
ハートビル法とはバリアフリーでお年寄りや身体の御不自由な方にやさしい建物です。
小さなお子様もベビーカーのままお入りいただけます。
駐車場あり
駐車場を3台ご用意していますので、お車で来院される方も安心して通院していただけます。ご家族でご来院ください。設備紹介
デジタルレントゲン
デジタルレントゲンで撮影した画像をご覧いただきながら、治療内容をわかりやすくご説明します。最新のデジタルレントゲンを導入しています。
フイルムによるレントゲン撮影に比べて、放射線の量を大幅に抑えています。
レーザー治療器
虫歯治療・知覚過敏・歯周病等の治療では、レーザー治療を行います。
出血や腫れを抑えられますので、痛みが少なく、術後の回復も早いです。
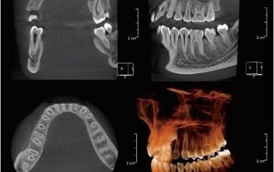
歯科用CT・セファロ(矯正用レントゲン)
今までのレントゲン撮影では、お口の中の様子は平面(2次元)でしか見られませんでした。
しかし、歯科用CTは、上下左右あらゆる角度から立体的にお口の中を観察できます。
レントゲンだけでは発見することができなかった病変や根管の形を確認しながら治療を進めます。
セファロは矯正歯科用の特別なレントゲンです。
顔の骨格や、出っ歯、上顎の状態などを確認することができます。
口腔外バキューム
歯の粉・唾液・血液など、治療中に飛び散った粉塵を素早く捕集し、診療室内の空気を綺麗にします。
オートクレーブ
高圧蒸気滅菌器です。
使用する器具を高温・高圧により滅菌しています。
ハンドピース滅菌機
治療で歯を削るときなどに使用するタービンなどの内部を隅々まで、高圧のオイル洗浄を行うことによって、血液や唾液などを洗浄、滅菌する滅菌器です。 器具内のオイル、切削かす、血液細胞、唾液などを高温で滅菌クリーニングすることによって、院内感染などが起こらぬよう細心の注意を払い、患者様の衛生面を高めております。
電動麻酔器
均一なスピードと力で麻酔薬を注入できるため、注入時の痛みを最小限に抑えられます。
エアフロー
特殊なパウダーを混ぜた水・高圧エアーのスプレー洗浄で、歯垢や歯の表面の汚れを除去することができます。
口腔内カメラ
むし歯や歯周病の状態、治療の経過などを撮影してモニターに映し、患者様にもご覧になっていただきながら治療を進めます。
